Before and Afters
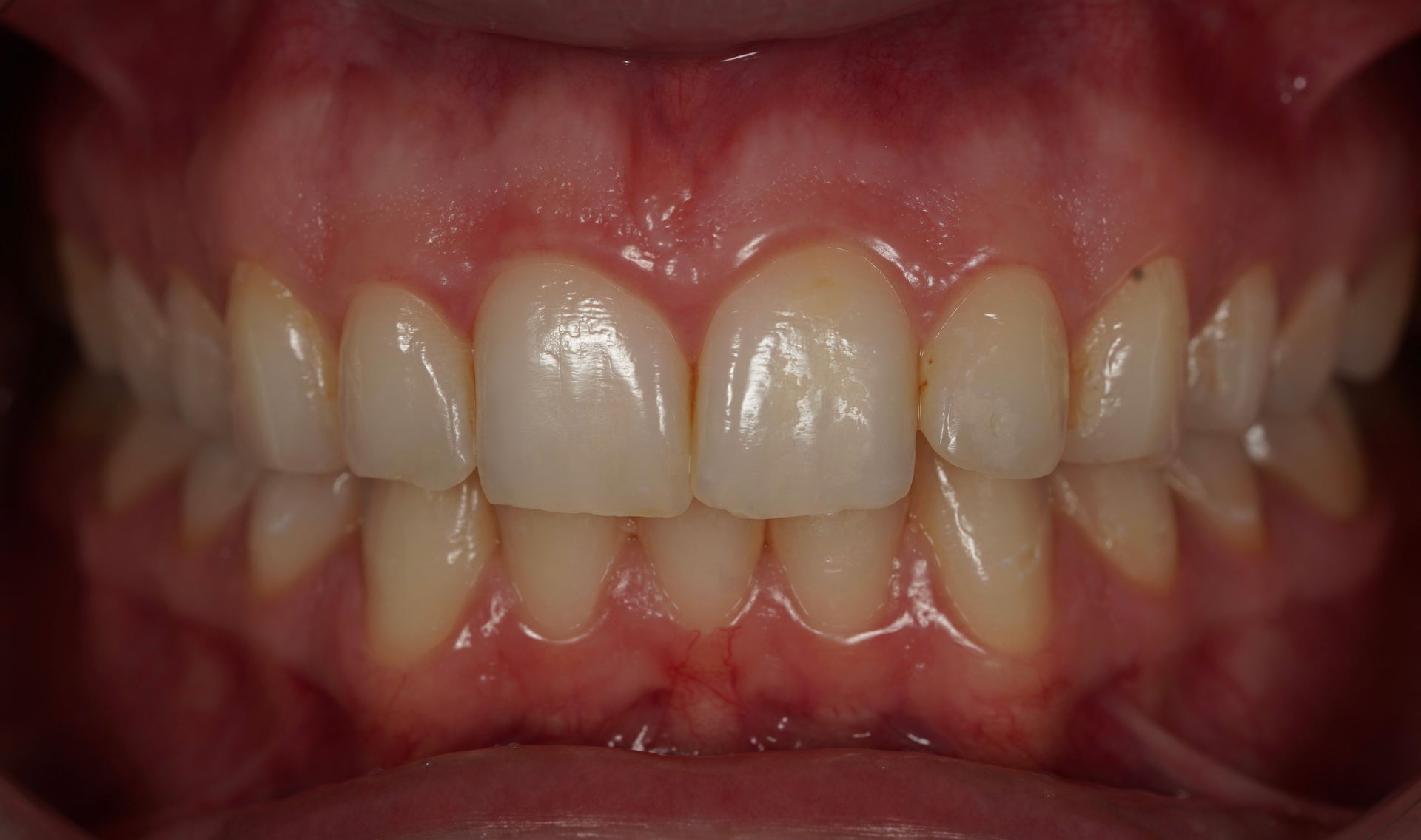
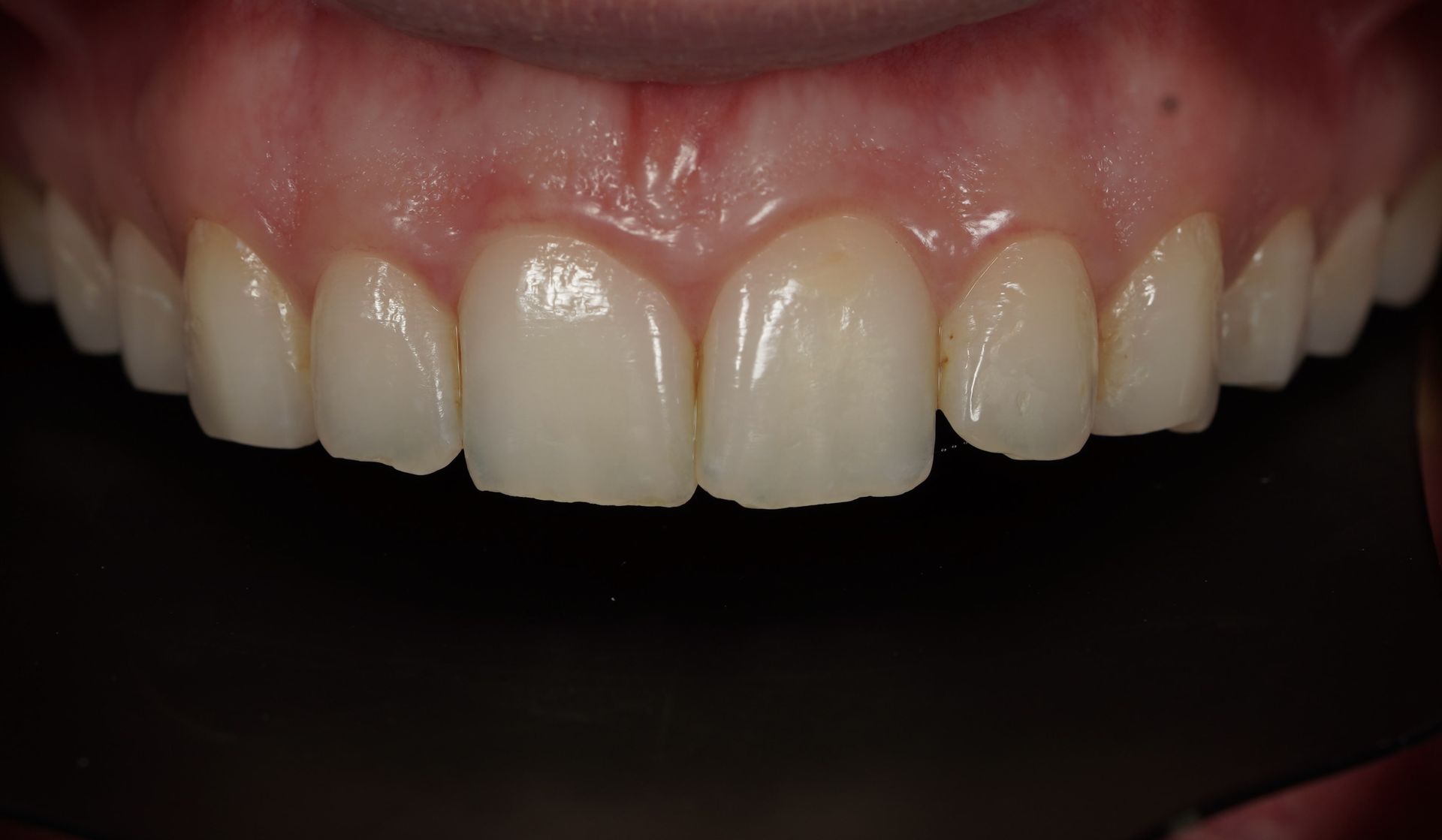
The only way to truly appreciate the impact of a restored smile is to see the transformation for yourself! Take a look at some of the work done by the team at Implant Center of Coral Gables below.
Or Call Now to Schedule
The only way to truly appreciate the impact of a restored smile is to see the transformation for yourself! Take a look at some of the work done by the team at Implant Center of Coral Gables below.
Or Call Now to Schedule
Bay Harbor
Coral Gables
Coral Springs
Sunrise
Pompano Beach
Hialeah
For more information or to schedule an appointment, call us at 305-876-6092 or complete the form.
Our front desk will review your information.
A team member will contact you as soon as possible.
We will work with your schedule to set an appointment.
Office Hours
Implant Center of Coral Gables